女孩|喝了一小口“水”,9岁女孩食管萎缩,影响进食近8个月
【 女孩|喝了一小口“水”,9岁女孩食管萎缩,影响进食近8个月】近日,广东省妇幼保健院小儿胸外科接诊了一名9岁的女孩“小丽”,因误喝空调清洁剂,导致食管化学腐蚀后变得狭窄而影响了进食近8个月。

文章插图
据了解,8个月前的一天下午,小丽回到家,看到桌上放了一瓶“水”,就好奇地喝了一小口。
就这“一小口水”,让小丽在接来下的8个月里苦不堪言:反复出现呕吐、腹痛,饮食上只能吃一些半流质食物及面包、馒头、米饭等软食,在当地医院也住院治疗过几次,但仍未得到很好的解决,到了最后,甚至连喝水都变得困难了。

文章插图
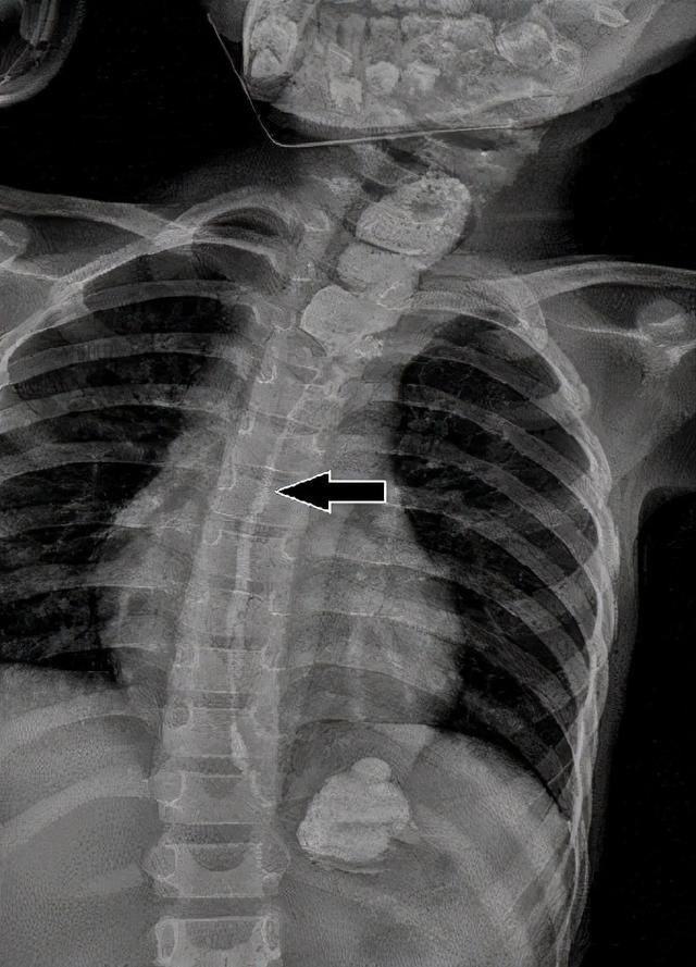
近日,小丽一家人找到了广东省妇幼保健院胸外科主任洪淳团队治疗,经过检查发现,小丽因误食了空调清洁剂后,造成了食管化学腐蚀后的狭窄,医生先给她尝试了无创的球囊扩张术,但因腐蚀后狭窄的时间较长,错过了保守治疗的最佳时机,球囊扩张并没有取得预期的效果,那么就只能考虑手术治疗了。术前的消化道造影显示:小丽食管中下段2/3严重狭窄,已经基本无法使用了!

文章插图
术前造影食管狭窄
经过科室联合多学科团队的讨论,最终决定采取经颈腹联合切口胃代食道术,即裁剪下小丽的一部分胃,去替代她已经萎缩的食管。手术难度非常大,国内外仅有少量案例报道。经过7个小时的奋战,手术终于顺利地结束了,在经过后期的护理后,小丽慢慢恢复正常饮食了,目前已顺利出院。

文章插图
术后造影食管恢复正常
提醒:“家有熊孩子,家长要‘放手不放眼’,别让孩子离开家长的视线;另外,化学物品、药品、毒物等都要收好,最好是放在孩子拿不到的地方,别让‘小疏忽’酿成‘大错误’。”
(来源:信息时报)
原题为:广东9岁女孩喝了桌上“一口水”,致食管萎缩无法进食......
编辑 施尚景
【来源:河南商报】
声明:转载此文是出于传递更多信息之目的。若有来源标注错误或侵犯了您的合法权益,请作者持权属证明与本网联系,我们将及时更正、删除,谢谢。 邮箱地址:newmedia@xxcb.cn
- 身高|女孩子要长高,还得注意这3点,让身高再“努力一下”
- 男孩女孩|为啥初中多半是“男女同桌”?班主任的用心良苦,父母知道吗?
- 美容院|6岁女孩患上“皮肤癌”,医生检查出诱因,很多家长还在犯
- 悠悠|孕期怀男孩和女孩反应不同别不信,这3种反应多半怀的是男孩子
- 脆骨症|身高仅90厘米的女孩执意生娃,孩子出生后,全家痛苦
- 董女士|18岁女孩吃药怀8胞胎:细思极恐的一幕,看完只有深深叹息
- 忠告|有女孩的家庭,家长谨记这4句忠告,将来女儿能少走不少弯路
- 食物|10岁女孩身高1米56,医生:3种食物是身高“增速剂”,不妨多食
- 胡萝卜胡萝卜|12岁女孩身高163厘米,医生:3种食物是秋季身高“增长器”,可多食
- 瘫痪|5岁女孩下腰后瘫痪!“如果再有一次机会,我只希望她健康快乐”
