牙齿|不吃糖,孩子却满口烂牙!罪魁祸首竟是它,快看你家有没有
菌菌前几天看到这样一则新闻:
一个年仅2岁的孩子,一口好牙却全部“烂光”了!

文章插图
图源:微博
俗话说:牙疼不是病,疼起来却要命。
但凡经历过牙疼的人,都知道牙疼起来,吃不好睡不好!
这么小的孩子满口牙全部烂掉,这背后的痛苦,菌菌想想都觉得心疼。
更何况,治牙这件事,可一点都不便宜。

文章插图
图源:网络
主要是这么多钱花出去了,孩子依然要受罪,这样一想心里就更难受了。
但其实,各种牙科疾病从来都不是突然来袭,而是日积月累的“后果”。
所以,为了宝宝不受罪,也为了大家不把钱都花在医院,
宝宝的口腔卫生,一定要早早重视起来。
1
乳牙不护理
一辈子都长不出好牙
对于宝宝的牙齿问题,菌菌经常听到这样一种声音:
“乳牙有点小问题其实不用管,反正都要换的。”
这其实是一个很严重的认知误区。
我们的乳牙虽然最终都会被恒牙所替代,但并不代表它不重要。恰恰相反,
恒牙的健康其实与乳牙息息相关。
在宝宝身上常见的牙齿脱矿和龋齿,都会影响乳牙下面的恒牙萌出。
不仅如此,这些牙科疾病还会影响宝宝进食,减弱肠胃的消化能力,影响宝宝发育!

文章插图
图源:网络
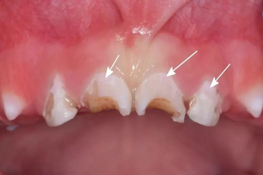
◆牙齿脱矿是什么?
牙齿脱矿是指牙釉质被细菌产生的“酸”所溶解,导致钙离子流失、釉质结构变疏松的过程。
脱矿的部位,一般表现为白色粉笔状的不透明斑块。
如果不及时处理,随着脱矿过程的不断进展,釉质结构最终会被破坏,形成龋洞。

文章插图

文章插图
左右滑动查看更多
图源:网络
牙齿脱矿和缺钙无关,
而是糖和细菌侵蚀牙齿所导致的。
因此,想要预防牙齿脱矿,
一定要注意宝宝牙齿的日常清洁。
◆龋齿怎么办
龋齿,就是我们常说的“蛀牙”、“虫牙”,这种牙齿疾病在儿童中很常见。
龋齿分为
浅龋、中龋、深龋,
具体如下图所示:

文章插图
图源:宝宝呵护漫画组
乳牙有了龋齿,很有可能会影响恒牙萌出,甚至导致恒牙变形、脱离。
而龋齿如果造成了乳牙缺失,则有可能
导致宝宝咬合异常,影响孩子的脸型和发育。

文章插图

文章插图
左右滑动查看更多
图源:网络
同时,儿童颌面部血液丰富,病变区的细菌可随血液播散到其他部位,
造成感染和炎症。
而想要预防龋齿,除了日常做好清洁,还可以
带宝宝去专业医院进行涂氟和窝沟封闭。

文章插图
图源:网络
美国牙科协会(ADA)、美国儿科学会(AAP)都建议:
宝宝长出第一颗牙齿就可以定期涂氟。
而窝沟封闭的最佳时机则是牙齿完全萌出,龋齿尚未发生的时候。
一般来说,在宝宝3~4岁乳磨牙期、6~7岁萌出六龄齿、11~13岁第二恒磨牙时,都是窝沟封闭的最佳时机。
2
日常做好这些事
让宝宝长出好牙齿
保护牙齿这件事,归根到底还是要从日常生活习惯入手。
对于宝宝而言,
注意日常饮食、做好牙齿清洁,
就能避免大多数牙科疾病的发生。
◆饮食
美国儿科协会(AAP)和美国心脏协会(AHA)建议:
2岁以下儿童应避免摄入添加糖。
2岁及以上儿童的添加糖摄入量每天不应超过25克。
25克糖,听起来不少,但其实一听可乐的含糖量就高达35克,远高出推荐值。
因此,日常饮食中,家长应该注意宝宝的糖分摄入,让宝宝少吃些甜食,避免过多的糖分滋生牙菌斑,破坏牙釉质。
- 健康|孕妈们在孕期要注意,为了宝宝们的健康,这几类食物最好不吃!
- 小米粥|进产房前最后一顿吃什么牢记“3吃3不吃”,避免产房内犯尴尬症
- 脚丫子|从小“吃手指”和“不吃手指”的孩子,长大后差距明显,家长收藏
- 宝妈|宝宝出牙时,宝妈容易陷入的4个误区,提前学习让娃牙齿更健康
- 妈妈们|宝宝一吃母乳就睡,一不吃就醒来,还得从宝妈自身找原因
- 正畸科|牙齿三个 “关键期” ,千万别错过!否则毁掉孩子一口好牙
- 专家|专家提醒:砂糖橘一摸就掉色谨慎购买
- 活血通经|孕期不吃螃蟹就没事了其实5类食品一口也别吃,对孕妈胎儿不好
- 男子|非洲一男子长相似猴子,不吃饭只吃香蕉,常被人当动物欺负
- 牙齿|宝宝牙齿发黑别着急,做好这4点,马上拥有一口洁白坚固的牙齿!
