【 患者|省内首例!齐鲁医院完成一站式经导管主动脉瓣置换术(TAVR)+经皮二尖瓣球囊扩张成形术(PBMV)】大众网·海报新闻 采访人员 徐玲 通讯员 孙厚荣 王雯 李小诗 济南报道
近日,齐鲁医院采用一站式经导管主动脉瓣置换术(TAVR)+经皮二尖瓣球囊扩张成形术(PBMV)成功救治一例75岁重度主动脉瓣狭窄合并重度二尖瓣狭窄的高危患者,该一站式手术为山东省首例。患者术后恢复良好,已治愈出院。该病例的成功救治标志着齐鲁医院在我国心脏瓣膜病介入治疗领域的领先地位。
患者,女性,因“活动后胸闷憋喘10年余,加重半月余”住入齐鲁医院心脏外科。入院时病情危重,端坐呼吸,活动严重受限,不能下床活动,饮食极差。经心脏超声检查,发现所有心脏瓣膜都严重病变,并且心功能差,尤其是右心功能极差(TAPSE=10mm,RVFAC仅为0.25),主动脉瓣和二尖瓣严重狭窄(主动脉瓣最大流速4.72m/s,主动脉瓣口面积0.59cm2,二尖瓣最大压差30mmHg,估测二尖瓣口面积0.78cm2)。结合病史、症状、体征以及辅助检查,诊断为:1.主动脉瓣狭窄(重度)并关闭不全(轻-中度)、二尖瓣狭窄(重度)、三尖瓣关闭不全(中-重度)、肺动脉并关闭不全(轻-中度)、心力衰竭、心功能Ⅳ级(NYHA分级);2.心房颤动;3.高血压(3级,极高危);4.肺动脉高压(中度)。
入院后经过药物积极治疗,病情有所改善,心血管外科主任张希全教授组织多学科讨论和评估,认为患者病情危重,身体虚弱,左、右心室收缩功能均较差,行传统外科开胸换瓣手术创伤大、风险高,并且术后行ECMO辅助的可能性极大,手术死亡率高。给予手术风险评估,STS评分高达14.882%,其中发病率和死亡率为66.213%。结合患者的具体情况,可以考虑行微创的同期一站式TAVR+PBMV手术,处理患者的主要瓣膜疾病,从而改善症状,延长寿命。有关患者病情、治疗方案和手术风险向患者家属讲明,患者家属表示理解并希望行微创手术治疗。
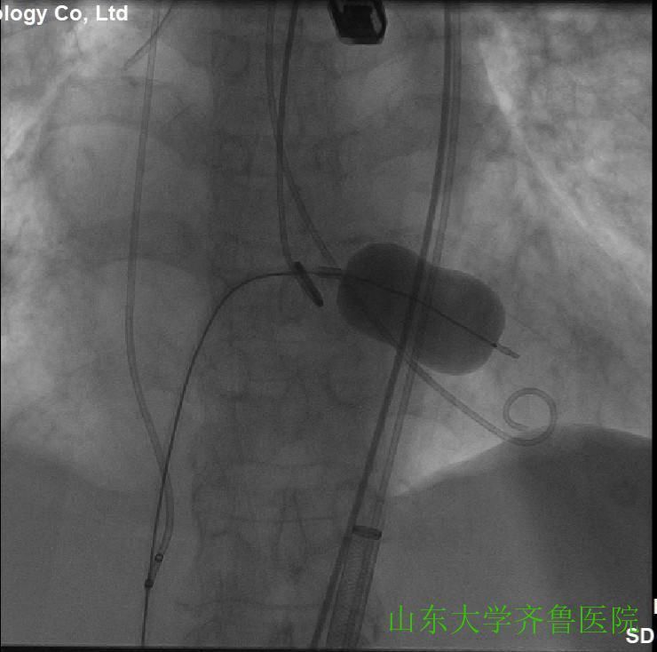
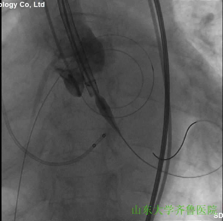
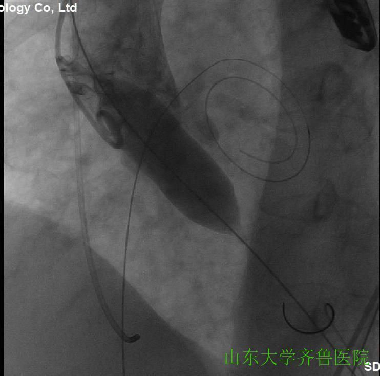
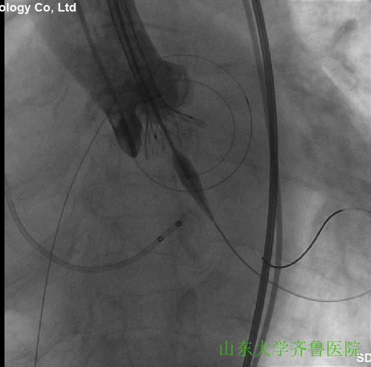
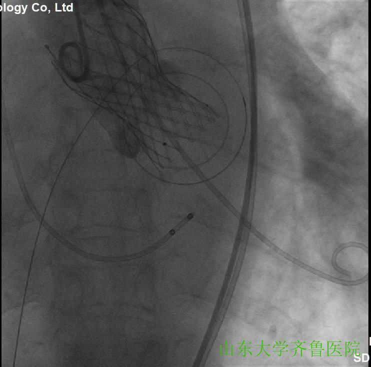
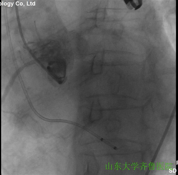
在手术室护士长翟永华及其护理团队、麻醉科吴剑波主任医师和杨绍忠主治医师的大力支持下,由心血管外科谷兴华主任医师、急诊心内科李传保主任医师、心内科安贵鹏副主任医师、心血管外科孙厚荣副主任医师及刘凯副主任医师、心脏超声室刘艳副主任医师和曹媛主治医师、放射科邵汉宏技师等在医院复合(Hybrid)手术室行一站式经导管主动脉瓣置换术(TAVR)+经皮二尖瓣球囊扩张成形术(PBMV)。手术先常规经颈静脉于右心室放置临时起搏导线并放置经食道TEE探头,行主动脉根部造影,明确主动脉瓣环平面、主动脉瓣钙化及返流情况(图1),导丝跨瓣入左心室并更换猪尾导管,测主动脉瓣跨瓣压差为76mmHg。选用24mm的擎源二尖瓣扩张球囊扩张2次,二尖瓣口面积由0.78?扩大至1.43?,并且二尖瓣无返流(图2)。选用20mmNuMed球囊,临时起搏心率180次/分,扩张狭窄的主动脉瓣(图3),应用26mmVenusA主动脉瓣介入瓣膜,准确定位、释放,造影、多体位透视及术中TTE显示介入主动脉瓣膜形态满意、无瓣周分流(图4-6)。术后即刻主动脉瓣最大跨瓣压差将至2mmHg。手术顺利,手术用时1小时40分钟,术后患者安返心脏外科监护病房。
文章插图
图1主动脉根部造影,可见主动脉瓣环平面、钙化灶、主动脉瓣中度返流
文章插图
图2应用24mm的球囊行二尖瓣球囊扩张
文章插图
图3主动脉瓣球囊20mm扩张,显示左右冠状动脉,无主动脉瓣返流
文章插图
图4选用26mmVenusA主动脉瓣介入瓣膜,定位,缓慢释放
文章插图
图5临时起搏心率140次/分,缓慢释放介入瓣膜
文章插图
图6释放介入瓣膜,形态、位置满意,造影时无瓣周分流
在心血管外科副主任、心血管外科重症监护室主任翟茜及其医疗团队、护士长周璐及其护理团队的精心治疗下,患者生命体征改善,病情稳定,术后8小时顺利拔气管插管,术后第3天转入普通病房,术后第7天饮食恢复正常,并下床活动,术后第10天复查心脏超声示LVEF0.48,主动脉瓣压差3mmHg,二尖瓣口面积1.3?,治疗效果满意,患者治愈出院。
- 尿毒症|尿毒症患者,在饮食上有什么讲究?牢记这6大注意事项
- 小涛|为患者取出“潜伏”8年的眼内异物
- 健康|这3类慢性疾病患者如何健康过年
- 病区|新疆霍尔果斯市疫情:在院患者病情平稳、逐步好转
- 重症医学科|州二院运用CRRT治疗新技术挽救患者生命
- 变异株|山西大同确诊患者所感染病毒属于德尔塔变异株
- 腹腔镜|道县:成功开展首例多脏器微创联合手术
- 糖尿病|市中医院内分泌科主任谢荣鑫谈:如何让慢性病患者健康快乐过春节
- 销售|深圳将试点互联网处方药销售,慢病患者可就近取药
- 高危人群|高血压患者如何预防脑出血
