3D打印技术应用到骨科手术是近几年的一门新兴医疗技术。目前,3D打印技术在骨科中的应用范围非常广泛,主要包括术前病变模型打印制作、制作手术导航模板、辅助手术精准进行、定制个性化假体与体内植入物等。3D打印技术与传统技术相比,最大的优势在于打印的“骨骼”是为患者量身定做的,可高度嵌合肢体,以增加植入物的骨整合;植入的多孔材料的主要优点是减少了骨骼与植入物合金之间的弹性模量不匹配,减轻了应力屏蔽效果并改善了植入物的形态,为组织向内生长提供了生物材料锚固效应。有了3D打印,过去无法治疗的骨肿瘤等骨科严重疾病有了新的治疗方式。
文章插图
烟台山医院将3D打印技术应用于骨肿瘤手术
今年春节过后,烟台山医院骨病与骨肿瘤科在副院长常黎明及主任廖光军的带领下应用3D打印技术,对一名肱骨远端转移瘤的患者成功进行了肿瘤病变完整手术切除并重建肘关节功能。这彰显了烟台山医院骨病与骨肿瘤科在治疗骨肿瘤方面的技术实力,以及不断更新技术,为患者带来更好、更适合的治疗方案的诊疗理念。
文章插图
术前影像表现
据介绍,患者因右肘外侧疼痛就诊于烟台山医院骨病与骨肿瘤科,门诊拍片发现右肱骨远端骨质破坏,经追问病史发现曾因肾癌做过肾切除术,后被诊断为右肱骨远端肾癌骨转移,并收入院。
【个性化、精准化,烟台山医院将3D打印技术应用于骨肿瘤手术】常黎明及廖光军召集科室进行病例分析、会诊及讨论,提出三个治疗方案:一是肱骨远端病灶刮除骨水泥填塞钢板内固定术;二是肿瘤完整切除,全肘关节假体置换术;三是肱骨远端病灶完整切除3D打印假体置换术。如果行肱骨远端病灶刮除骨水泥填塞钢板内固定术,可能无法彻底切除肿瘤病灶,术后局部容易复发;而肿瘤完整切除,全肘关节假体置换,术后患者功能较差,屈伸及旋转功能或将受限,而且容易出现假体周围骨折等严重并发症。
文章插图
全肘关节假体,切除范围大,术后旋转功能差,容易出现骨折等并发症
经过讨论,最终决定应用3D打印技术,完整切除肿瘤重建肘关节,最大程度上恢复患者的肘关节功能。
文章插图
术前规划
经过精准术前测量,烟台山医院与上海交通大学医学3D打印创新研究中心的工程师及专家进行反复沟通,个性化定制出完全符合该患者自身尺寸及规格的假体,制定打印出来匹配的截骨导板。手术过程十分顺利,术后患者功能恢复良好。
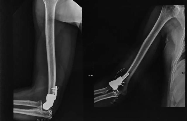
文章插图
术后影像
“该手术是我院首次采用3D打印技术个性化定制假体,应用于骨肿瘤病人的治疗及重建,也是山东省首例。我们根据术前3D打印出来的截骨导板,将肱骨远端外侧病灶完整地精准切除,假体与切除后的骨质非常贴合;由于我们预先给假体做了多孔骨长入处理,将来假体可与正常骨质长在一起,这样假体的稳固性会非常好;术中我们重建了肘关节的功能性肌肉,所以,患者术后的屈伸及旋转功能很快得到恢复,这大大提高了患者术后的生活质量。”烟台山医院副院长常黎明介绍说,由上海交通大学医学院附属第九人民医院戴尅戎院士带领的上海交通大学医学3D打印创新研究中心成立于2016年,它是全国3D打印技术应用于临床医学的研究基地,获得国家“十三五”科技重大专项奖。而烟台山医院是烟台市骨科医学中心,其骨科是山东省临床重点专科。“我们医院在‘医工结合’的大形势下,目前已经与上海交通大学医学3D打印创新研究中心签署战略合作协议,我们也将马上成立上海交通大学医学3D打印创新研究中心烟台山医院分中心,这将进一步提升医院骨科的技术水平,切实满足更多患者的需求,让骨科疾病治疗更加个性化、精准化。”
【来源:胶东在线】
声明:转载此文是出于传递更多信息之目的。若有来源标注错误或侵犯了您的合法权益,请作者持权属证明与本网联系,我们将及时更正、删除,谢谢。 邮箱地址:newmedia@xxcb.cn
- 大冒险|PS美服2月会免:UFC4、过山车之星、小缇娜强袭龙堡
- 2022最新漂亮早上好问候祝福语唯美冬日风景早安图片动态表情包
- 2022春节早上好动态表情图片带字祝大家春节快乐给您拜年了!
- 妇科检查|乳腺结节、增生易变癌?注意,7类女性更受乳腺癌青睐
- 群众|用心用情精准发力
- 骑摩托、晒基尼照,63岁奶奶改行做模特身材比少女还火辣
- 无症状感染者|新疆霍尔果斯1月26日新增1例确诊、3例无症状感染者
- 病区|新疆霍尔果斯市疫情:在院患者病情平稳、逐步好转
- 画质|《宝可梦阿尔宙斯》GS 8分:战斗爽、画质破坏沉浸感
- 水果|水果中的“全科医生”,家里要常买!每天1个,远离癌症、痴呆,6大好处找上来